Чому обирають нас?
Досвідчені сертифіковані ортодонти
Використання передових технологій
Високоякісні брекети та елайнери
Комфортне лікування без болю
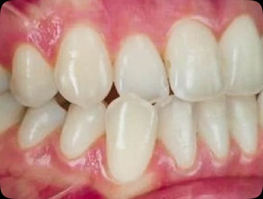
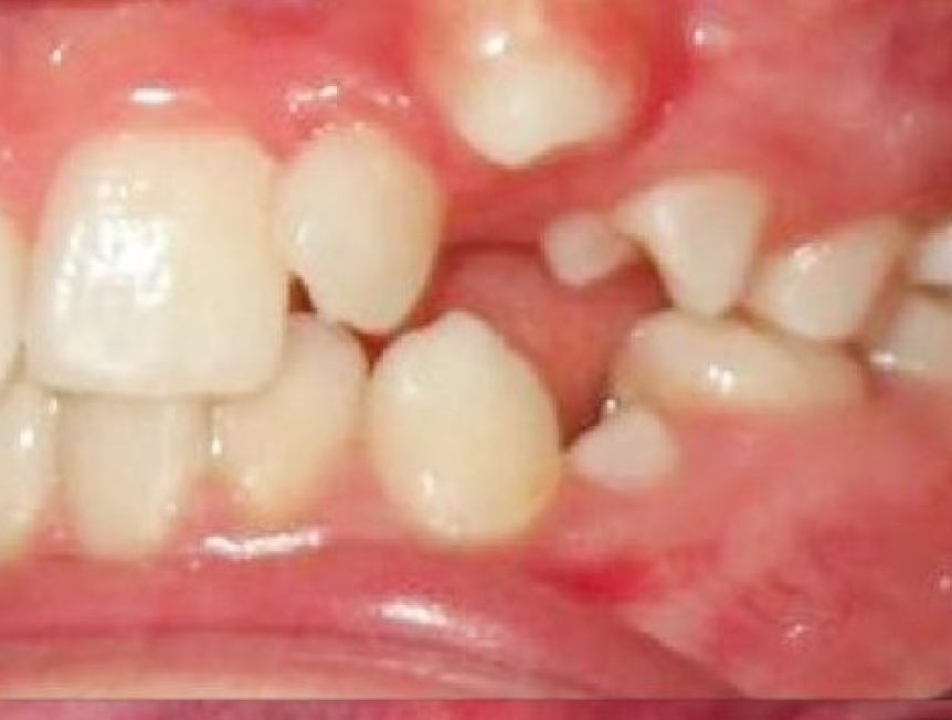
Результати лікування
Відгуки наших пацієнтів
Олена Ковальчук
Прийшла просто на консультацію — залишилась на повне лікування. Такого гарного сервісу, як в Айорто, я ще не зустрічала.
Ірина Самойленко
Це вперше, коли стоматологія не асоціюється з болем і страхом. Тут справді комфортно, лікарі пояснюють усе до дрібниць.
Олег
Встановлював імплант. Чесно, боявся як вогню. Але тут настільки спокійна атмосфера й круті спеціалісти, що я реально розслабився. Все пройшло ідеально.
Валерій
У мене були дуже складні зуби мудрості. В Айорто все пройшло легко й без болю. Шви зняли швидко, відновлення — супер. Тепер тільки до них.
Анастасія Василенко
Боялась стоматологів до істерики. З Айорто в вийшли після прийому з усмішкою — і це не перебільшення. Просто 10 з 10👍🏻
Андрій Петров
Вдячна за професійність та турботу. Вже не перший рік з вами.
Тарас Гайчевич
Лікар-ортодонт Божена справжній професіонал своєї справи.
Марина Вінченко
Лікарі, атмосфера та підхід просто вогонь, вже всіх знайомих привела в Айорто
Наші партнери
Наші фахівці
Крижанівська Божена Вʼячеславівна
Магістратура, Інтернатура 2017–2023 — Київський медичний університет, спеціальність «Стоматологія». Спеціалізація «Ортодонтія».
Детальніше
Алексєєв Володимир Олександрович
Лікар-ортодонт, гнатолог вищої категорії. 15 років досвіду. Спеціалізація — гнатологія, брекет-системи, дитяча ортодонтія..
ДетальнішеВартість послуг
Ортодонтія
-
Консультація лікаря-стоматолога-ортодонта
500 грн
Консультація лікаря-ортодонта розгорнута зі скаднням плану лікування, та візуалізацією
1 500 грн
Встановлення брекет-системи
Надання послуг по лікуванню капами Angel Aligner
Надання послуг по лікуванню капами Invisalign
від 6 000 грн
Терапевтична стоматологія
-
Проведення професійної профілактичної гігієнічної чистки зубів. Air Flow (2 щелепи)
від 2 000 грн
Консультація лікаря-ортодонта розгорнута зі скаднням плану лікування, та візуалізацією
1 500 грн
Відновлення зубів Build up
від 1 500 грн
Проведення відбілювання зубів гелем Magic Smile (1 щелепа)
від 3 500 грн
Лікування карієсу фотополімерною пломбою з клиновидним дефектом
від 1 000 грн
Встановлення тимчасової пломби
від 270 грн
Проведення реставрації пошкодженого зуба
від 2 200 грн
Лікування кореневого каналу
від 2 500 грн
Хірургічна стоматологія та Імплантологія
-
Видалення зуба
від 450 грн
Проведення зубної імплантації "MegaGen AR"
13 700 грн
Ортопедична стоматологія
-
Протезування
Коронки
Мости
Вініри